Effortless Luxury. Exceptional Care
A dental experience reimagined. Where sophistication meets serenity, and cutting edge technology blends seamlessly with indulgent comfort.
Overhead TVs with Netflix and More
Enjoy your favorite Netflix shows, movies, or calming visuals right above your chair.
Headphones for a Personalized Music Escape
Tune out the world and immerse yourself in your favorite music, podcasts, or guided meditations.
A Space Designed for Serenity
Soft lighting, calming colors, and a soothing ambiance create a sense of relaxation.
Immersive Tranquility
Recline in bespoke treatment chairs, enveloped in an atmosphere of calm. Personalized entertainment, noise cancelling headphones, and a refined ambiance, transform each visit into a private retreat.
Uncompromising Excellence
Precision driven care. Delivered with discretion and artistry. Every detail is meticulously curated to ensure an experience as seamless as it is sophisticated.
Elevate your expectations
Indulge in a new standard of excellence where every moment is crafted with precision and care. From timeless design to unmatched comfort, we don’t just meet expectations—we exceed them. Here, sophistication isn’t added—it’s built in.
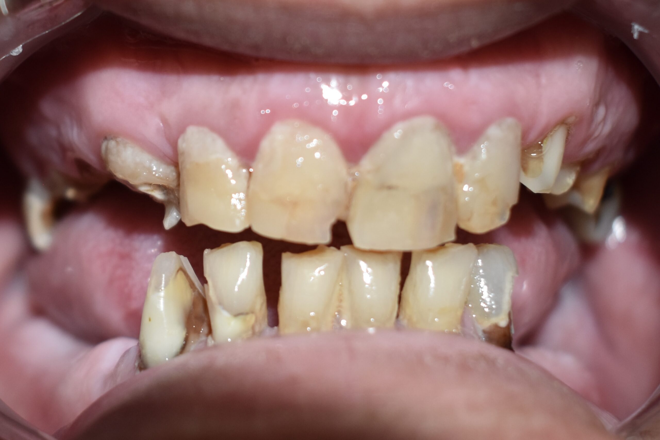
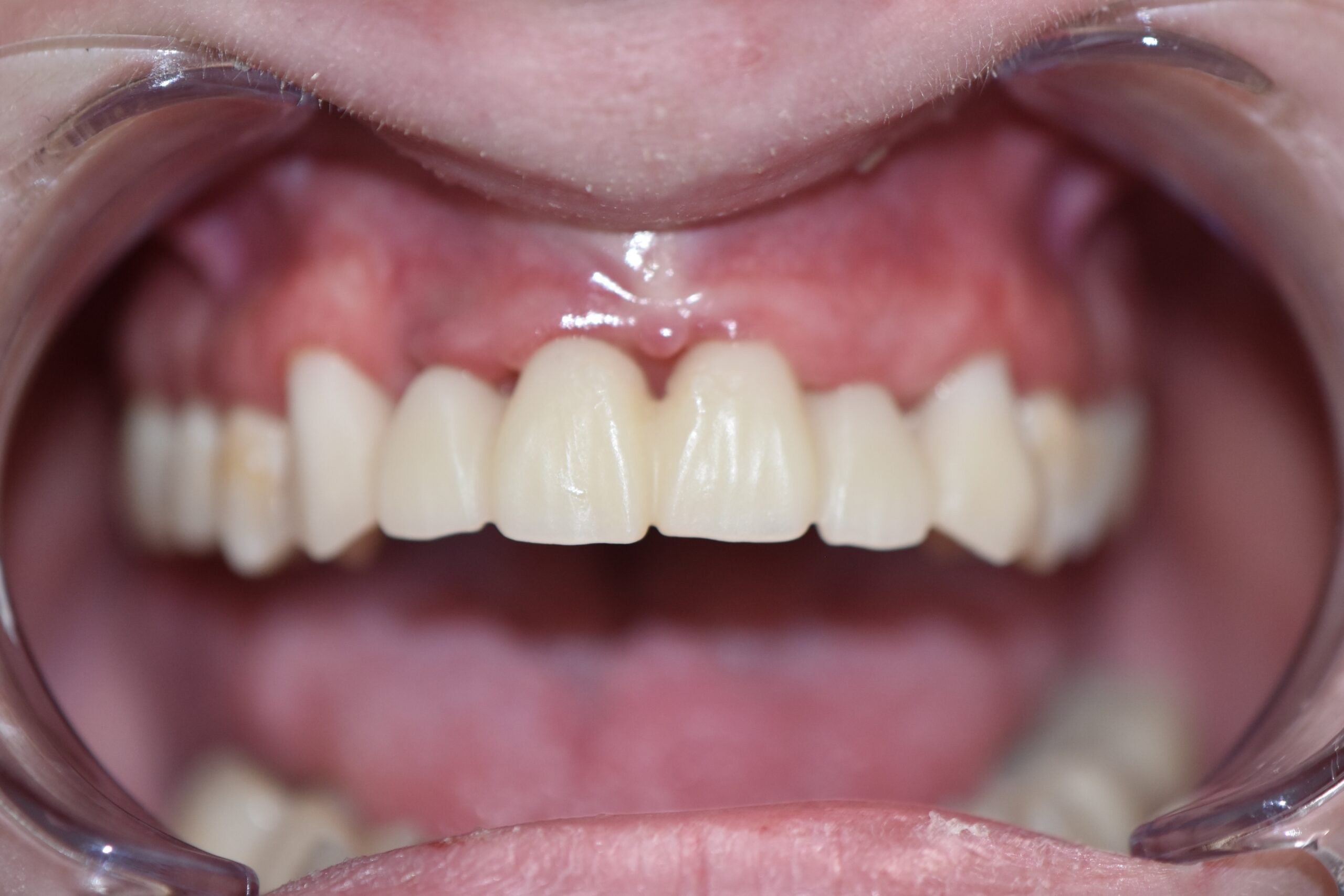
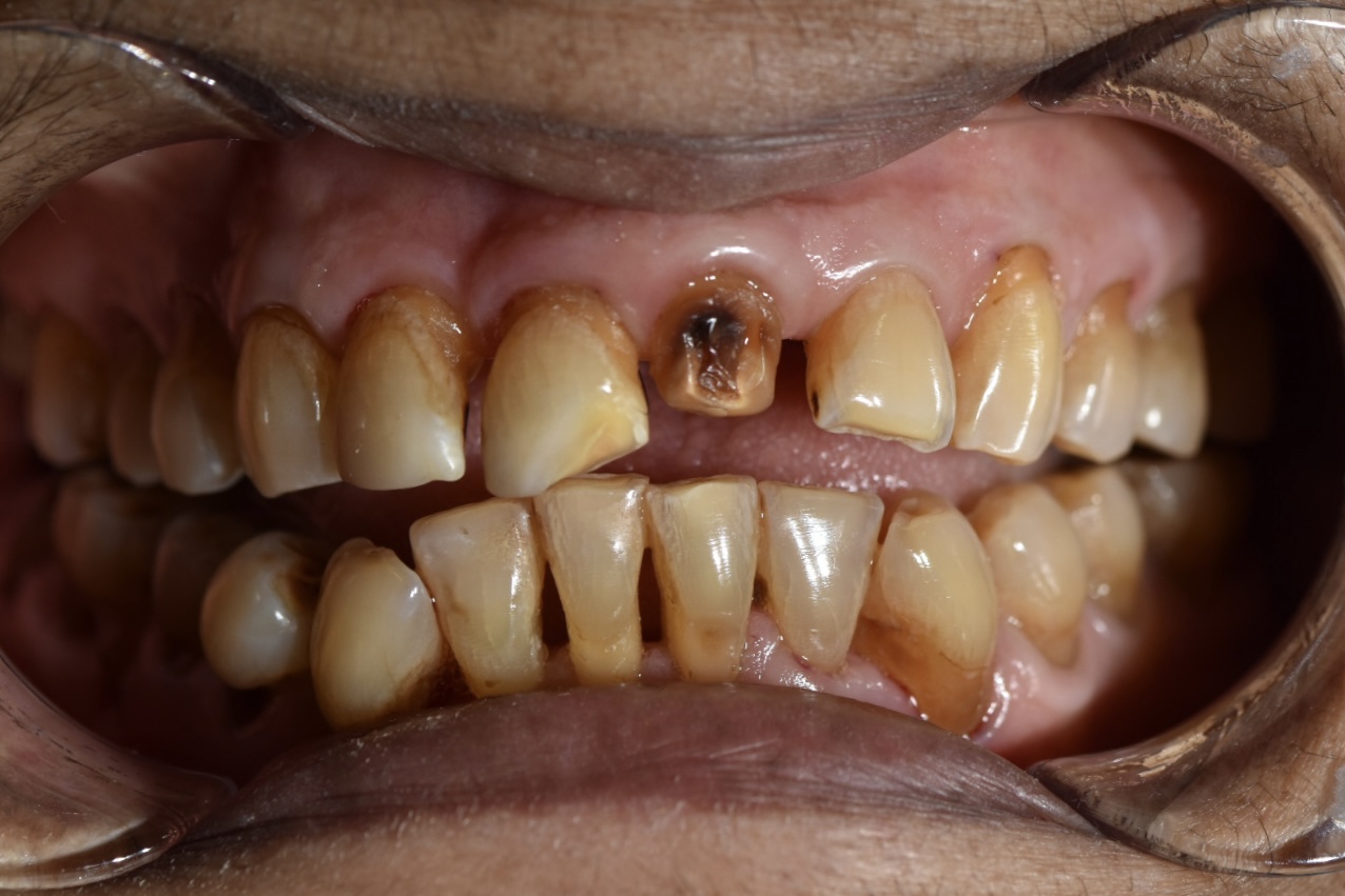
Smile Gallery


















Schedule With us
Ready for a Healthier, Brighter Smile?